Room: Room B-2 (2F)

P.10 Ethical and clinical challenges in managing brain death during pregnancy

Ahmed A Abdelhafiz, United Arab Emirates

Resident
Anesthesia and Critical Care
Emirates Health Services

Abstract

Ethical and clinical challenges in managing brain death during pregnancy

Ahmed Abdelhafiz1, Mohamed Nassif2, Sumaya Alzarooni3, Maria P Gomez4.

1Anesthesia and Critical Care, Emirates Health services, Sharjah, United Arab Emirates; 2Critical Care, Emirates Health services , Al Qasimi Hospital, Sharjah, United Arab Emirates; 3Pediatric Cardiology, Emirates Health Services, Sharjah, United Arab Emirates; 4Organ donation center, The National Center for Regulating Donation and Transplantation of Humans Organs and Tissues, MOHAP, Sharjah, United Arab Emirates

Background:  Diagnosis of brain death in a pregnant patient is highly challenging both ethically and clinically when the usual medical criteria for brain death cannot be utilized completely because of pregnancy-related restrictions. The situation is compounded by the requirement to weigh maternal and fetal rights as well as the medical limitations posed by the patient's critical status. Pregnancy itself can interfere with some diagnostic tests, making it difficult to conclude brain death, so this case is reported which aims to discuss the ethical challenges and clinical intricacies in diagnosing brain death when critical diagnostic tests are restrained or limited.
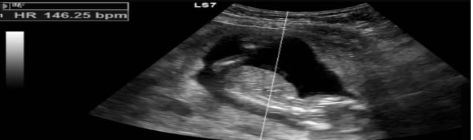
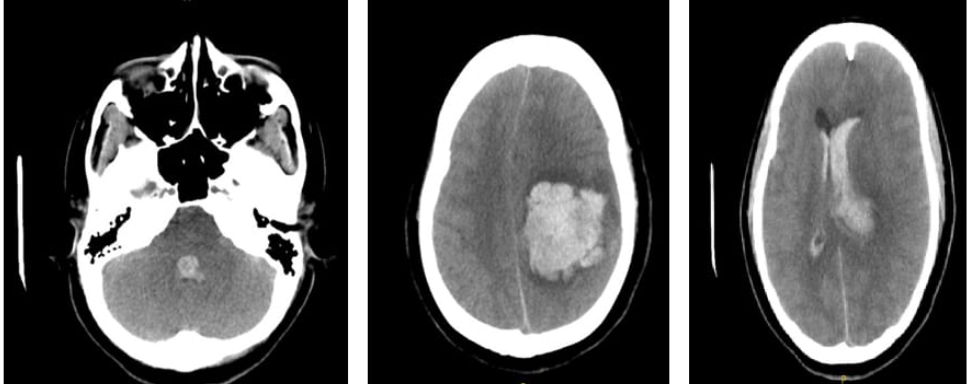
Case Description: A 31-year-old pregnant patient at her 12 weeks of  gestation was admitted. We reported her history of headache, vomiting and acute loss of consciousness. Presenting with GCS 3/15 on arrival, unequal, non-reactive pupils on physical examination, she was intubated because of low GCS and impaired respiratory function. Imaging scans revealed a thalamic hematoma on the left side of large size as well as extensive brain edema and signs of herniation of the brain. Emergency decompressive craniectomy was carried out in a bid to lower intracranial pressure. Because of the patient's pregnancy, an apnea test was not possible as it was a risk to fetal health. The patient also had a craniectomy which made it impossible to use an EEG to determine brain function. A CT angiogram was necessary to rule out vascular causes which was not conducted because there was a high risks of radiation exposure to the fetus.




Conclusion: Presented case illustrates ethical and clinical dilemma of establishing a diagnosis of brain death in a pregnant woman when pregnancy-related constraints hamper use of routine tests. Inability to perform critical tests like the apnea test and EEG show complexity of making an irreversibility diagnosis while weighing the risk of harm to both maternal and fetal health. A multidisciplinary approach which included close interaction among neurology, obstetrics, ethics and legal professionals can deal with such challenging scenarios. Ethical consideration with caution and strict compliance with accepted medical standards are necessary to ensure the respect of both fetal and maternal interests during decision-making.

Key Words: Brain death, pregnancy, ethical dilemmas, fetal protection, apnea test, EEG, craniectomy, invasive procedures, diagnostic challenges, CT angiogram.

References:

[1] Brain Death, Pregnancy, Ethical dilemmas, fetal protection, apnea test, EEG, Craniectomy, invasive procedures, diagnostic challenges, CT angiogram

Presentations by Ahmed A Abdelhafiz

Email: info@2025.isodp.org
514-874-1717